2440 Statesville Blvd, Suite 220
Salisbury, NC 28147

Smile Gallery

The image shows a close-up of a person s teeth with visible yellowing, indicating possible dental issues such as staining or decay.

Before

The image shows a close-up of a person s smile with straight white teeth and a pink lipstick on the lips.

After

The image shows a close-up of two teeth with yellowing, likely due to staining or decay, set against a pink background which could be gums or a part of dental equipment.

Before

The image shows a close-up view of a person s teeth with some yellowing and staining, particularly noticeable on the front teeth, which are slightly crooked.

After

The image shows a close-up of a person s face with a wide smile, revealing straight white teeth and a slightly open mouth, set against a neutral background that focuses attention on the facial features.

Before

The image shows a close-up view of a person with a wide smile revealing white teeth, wearing lipstick, against a neutral background.

After

An image of a close-up view of a person s mouth showing teeth with visible dental work, including braces and possibly other orthodontic appliances.

Before

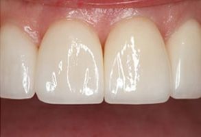
The image shows a close-up of a person s teeth with a focus on a large front tooth, likely for dental care or cosmetic purposes.

After

Dental implant with a pink gumline, showcasing a natural-looking tooth replacement.

Before

The image shows a close-up view of a person s teeth with a focus on a dental implant or bridge, highlighting the artificial nature of the tooth compared to the natural ones.

After

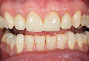
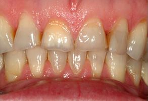
The image displays a close-up view of a person s teeth with visible signs of discoloration and possible dental issues, showcasing a need for dental care or treatment.

Before

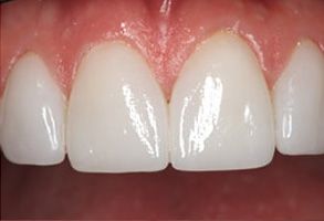
The image shows a close-up view of a person s teeth with a focus on a dental implant, showcasing its integration into the surrounding natural teeth.

After

The image shows a close-up of a person s mouth with a large gap between the teeth, revealing stained and decayed teeth.

Before

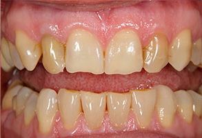
The image shows a close-up view of a person s teeth, with an emphasis on the upper front teeth which appear to be yellowed or discolored.

After

Office Hours

Monday
7:00 am - 3:00 pm
Tuesday
7:00 am - 3:00 pm
Wednesday
8:00 am - 5:00 pm
Thursday
8:00 am - 5:00 pm
Friday
8:00 am - 1:00 pm
(By Appointment Only)
Saturday
Closed
Sunday
Closed