(By Appointment Only)
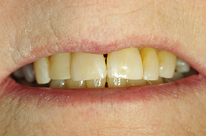
Marie had an existing set of upper and lower dentures made 6 years ago. Her chief complaints were that they were loose and did not look good. She had them made at local denture mill.
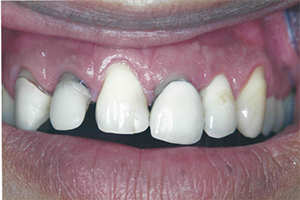
Treatment including make a new set of custom made upper and lower full dentures over five visits.
Marie was very happy with the appearance and fit of the custom made dentures.
1. Photograph of Marie's old dentures:

2. Photograph of Marie's new dentures. Please note how the new denture teeth look more natural and how her smile has been improved.

This is the letter Marie wrote to Dr. Janak Patel after the treatment was completed:
Dr. Patel & Staff
I just love my new dentures!
The other teeth I had were ill fitting and stuck out like rabbit teeth. But these are more natural, I didn't have to learn to talk all over again as I did with the others! I can chew better now too. It's a lot longer process and little more expensive than affordable dentures, but well worth the money. :) Thank you, Marie
Call Dr. Janak Patel at (704) 612-0546 to get a custom made set of dentures that you deserve and would be happy to wear.
Dr. Janak Patel - Mini-Implant Clinical Case 1:
Ron had lost all of his upper teeth and had worn a full coverage upper denture for many years. He had retained all of his lower natural teeth. His main complaint was that his denture would come loose when he tried to bite into food using his front denture teeth and that he did not like the plastic feeling in the roof of his mouth.Treatment included placing six mini-implants in his upper jaw and making a new implant-retained upper denture with no coverage in the palatal area.The result was to his great satisfaction. His upper denture did not move when he bit into an apple and he had nothing covering the palatal area of his mouth.
Below are the photographs that Dr. Janak Patel took of Ron's case and the upper denture Dr. Janak Patel made for Ron.


This is the letter Ron wrote to Dr. Janak Patel after the treatment was completed.
Dear Dr. Patel,
Again, thanks for fitting me with a set of mini-implants and matching dental prosthesis with such knowledge and skill that my dental function and aesthetics are on a par with un-impaired and attractive natural teeth. Frankly, I was dubious about the 'apple test', but when I attempted to eat a big, firm, Fuji apple, I was elated to learn that my prosthesis allowed me to devour that apple without a hitch.
As one of your new patients, I want you to know that I have the highest regard for your professional knowledge, skill, and 'bedside manner'. Among the many dentists who have served me during my 75 years, you unquestionably belong to the top echelon. I feel very fortunate to have been accepted as your patient. Also, I convey my highest regards to your staff and laboratory specialist. Please thank all of them for me.
Thanks again for your excellant service.
Sincerely, Ron
Dr. Janak Patel - Mini-Implant Clinical Case 2:
Janet had lost her upper right lateral incisor about a year ago. She wanted to replace it since she did not like smiling due to the missing tooth. The area was narrower than the surrounding bone and not wide enough for a wide-body implant but it was perfect for a mini-implant. She wanted an implant and crown since she did not want a removable partial denture, and it had to be cost effective. This treatment cost her less than half the cost of wide body implant and crown. Treatment included Dr. Janak Patel placing a mini-implant at the area of the missing tooth and placing a temporary acrylic crown on the mini-implant the same day. This process took about an hour. Janet left the office that day being able to smile without being embarrassed of the missing tooth. She came back 3 weeks later and the final full ceramic crown was placed.
Below are the photographs that Dr. Janak Patel took of Janet's case:
1. Before the implant:


2. Immediately after the implant was placed. Please notice how there is no bleeding of the gums, no cutting of the gums, and no swelling:

3. Immediately after mini-implant was placed, a temporary acrylic crown was cemented:


4. After the final crown was cemented:
Photo to be inserted soon.
Call Dr. Janak Patel at (704) 612-0546 to schedule a Complimentary Consultation to see how mini-dental implants can improve your smile and your life.
Natural Smile Clinical Case 1:
Hector had multiple issues with his front teeth. Some of these issues included poorly positioned teeth, spaces in between his teeth and the color of this front teeth not being the same.


Dr. Janak Patel completed a thorough examination of Hector's teeth, took molds of his teeth and performed a smile analysis before his dental treatment was even started. Once this was done, Dr. Janak Patel treated Hector's teeth in stages and the end result was giving Hector a smile he was happy with and which would last for many years.


Natural Smile Clinical Case 2:
Lisa came to Dr. Janak Patel since she was not happy with the color of her teeth and she had worn down the edges of her front teeth giving them and her an aged look. Lisa wanted a youthful smile.

Dr. Janak Patel discussed the different dental treatments that Lisa could choose from. Lisa selected porcelain veneers since they would change the shape of her teeth and give her the color of teeth she wanted. With porcelain veneers, the color would be stable for many years and would not get dark.

Natural Smile Clinical Case 3:
Debbie came to Dr. Patel since she had a bad upper left front tooth which could not be saved and had to be removed. Different treatment options were discussed with Debbie and she chose a bridge at the upper front teeth. Dr. Janak Patel told Debbie that with a bridge at the upper front, that he could correct the severe crowding she had and make her smile look more ideal and natural. Since Dr. Janak Patel corrected the crowding problem with a bridge which she needed anyway, he saved Debbie thousands of dollars in unnecessary orthodontic treatment. Dr. Janak Patel is always attempting to save his patients treatment cost and give them more value for choosing him to serve their dental needs without compromising quality.



Natural Smile Clinical Case 4:
This is treatment that Dr. Janak Patel completes on a daily basis. He will take an old silver filling which is breaking down and leaking, and replace it with a composite (tooth-colored) filling. This new filling has no mercury in it like the silver filling, it will look more natural and be sealed better at the edges than the silver filling.
Call Dr. Janak Patel at (704) 612-0546 to get the natural smile you deserve.
Dr. Janak Patel - Invisalign Clinical Case 1:
Ricky had severe crowding of his lower teeth. Please note the overlap of his central incisors which Dr. Janak Patel corrected for him. Ricky did have periodontal (gum) disease which was being treated by Dr. Janak Patel before, during and after his Invisalign treatment. Unfortunately, the gum disease had destroyed bone around this teeth which resulted in his gums dropping in between his teeth. This damage to his jaw bone and gums could not be reversed.
Ricky completed his treatment in 7 months. Please note how the severe crowding on the bottom teeth was resolved. Ricky was so happy with the results of his Invisalign treatment that he had Dr. Janak Patel whitened his teeth and replace his upper left gold crown with a natural looking full ceramic crown. Dr. Janak Patel combined Invisalign with Cosmetic Dentistry to give Ricky the smile he always wanted.